常見的檢查肺結(jié)核的方法
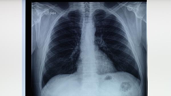
檢查肺結(jié)核的方法主要有痰涂片檢查、結(jié)核菌素試驗(yàn)、胸部X線檢查、γ-干擾素釋放試驗(yàn)、痰培養(yǎng)檢查等。肺結(jié)核是由結(jié)核分枝桿菌引起的慢性傳染病,主要通過呼吸道傳播,早期診斷有助于控制病情。1、痰涂片檢查痰涂片檢查是診斷肺結(jié)核的常用方法,通過顯微鏡觀察痰液中是否存在抗酸桿菌。該方法操作簡(jiǎn)便、成本較低,適合基層醫(yī)療機(jī)構(gòu)開展。但痰涂片檢查的敏感性較低,可能需要重復(fù)進(jìn)行以提...